Accueil > Cas avant/après > Photo avant / après problème d'agénésies des incisives latérales supérieures et "maladie" parodontale.

Photo avant / après problème d'agénésies des incisives latérales supérieures et "maladie" parodontale.

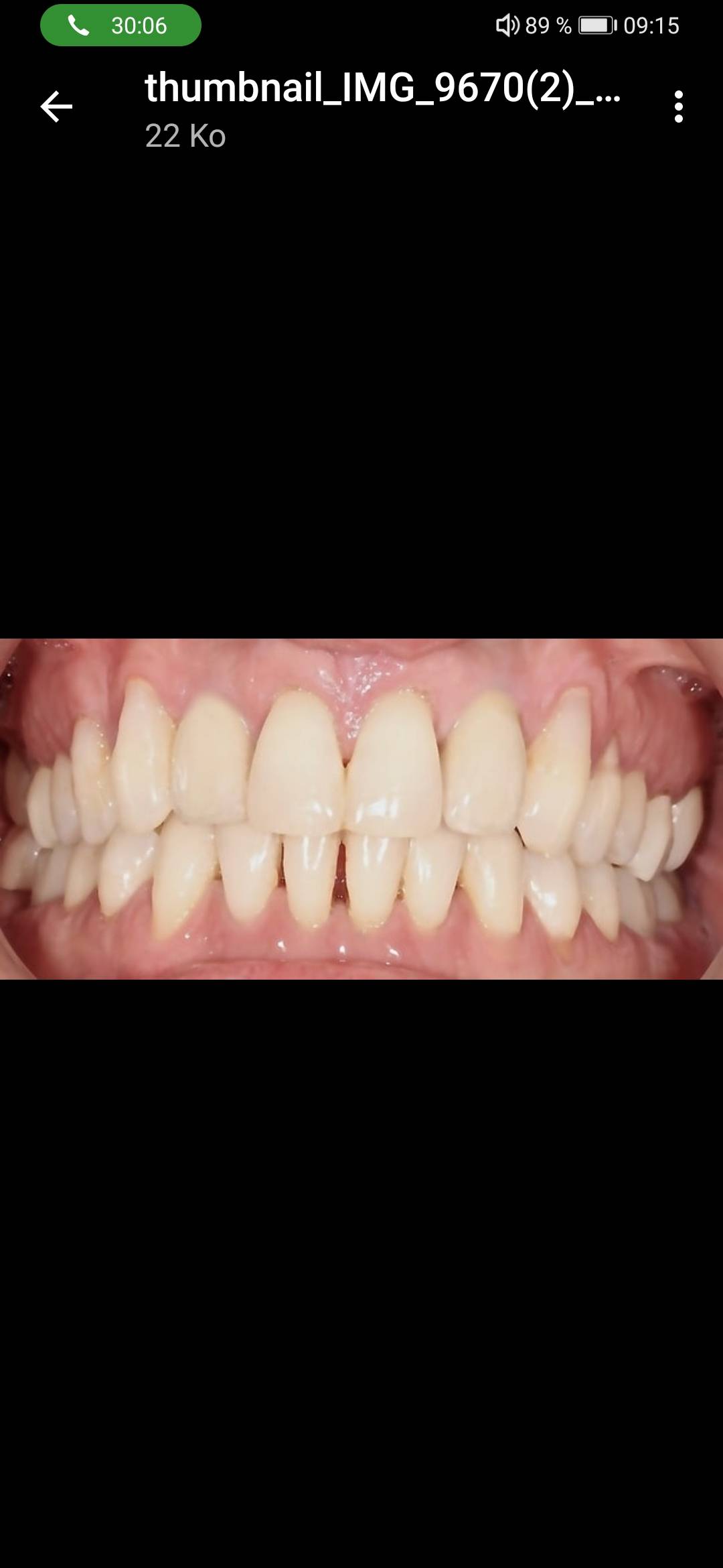
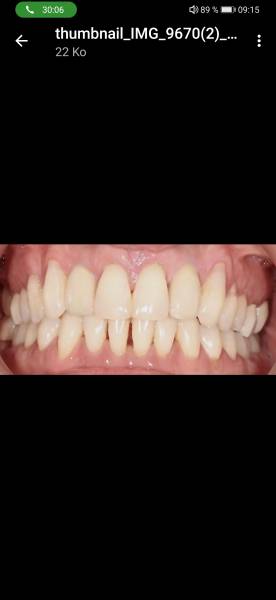
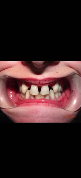
Photos Avant après Problème de agénésie incisives latérales supérieurs et "maladie" parodontale chez une patiente.
cette jeune patiente est venus me voir, en 2010 car terriblement complexée par ces dents, elle avait 31 ans à l'époque, et son praticien lui avait placé un appareil mobile pour remplacer les deux incisives latérales et lui réalisait des extractions dentaires au fur et à mesure que le temps passait...
des blessures parodontales étaient présentes non traitées.
Le plan de traitement a été , traitement parodontal par le TPA, traitement d'orthodontie, et pose d'implants...
Nous écrire
Les champs indiqués par un astérisque (*) sont obligatoires