Accueil > Cas avant/après > Photos avant/après de traitements parodontal et orthodontique.

Photos avant/après de traitements parodontal et orthodontique.

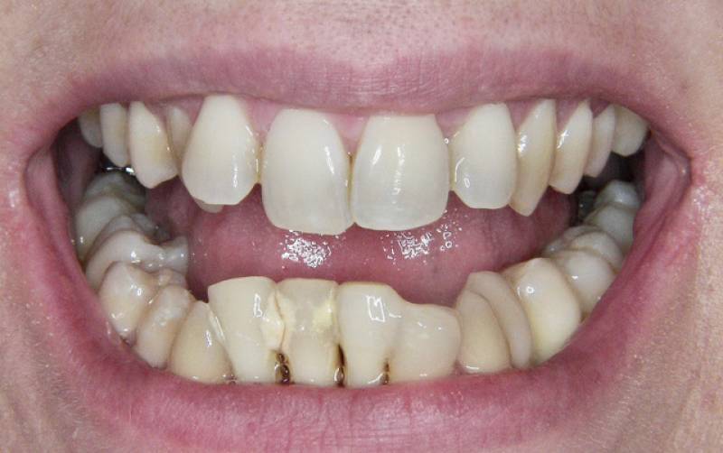
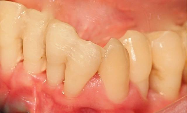
Consulter les photos avant/après d'un traitement parodontal et orthodontique sur un chevauchement réalisé par le docteur Jean-Michel Pelé.
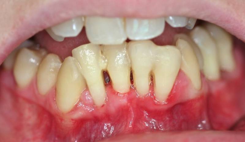
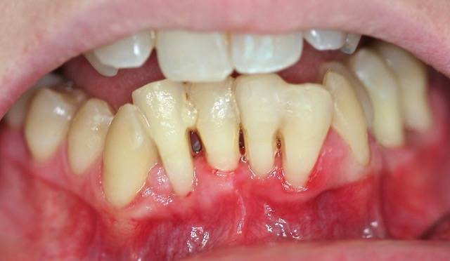
jeune avocate de 31 ans venue nous rencontrer en pleine dépression, car toutes ses dents de la mandibule étaient mobiles.
Elle nous a présentait un devis qui avait été établi par un praticien, d'un montant de 35000 euros d'implants et l'extraction de 15 dents.
C'est le premier cas traité par le protocole POP.
Pour la première fois nous avons tenté un traitement d'orthodontie, jamais réalisé par un praticien dans le monde...avec des dents d'une extrême mobilité...
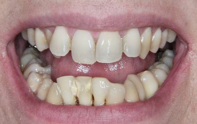
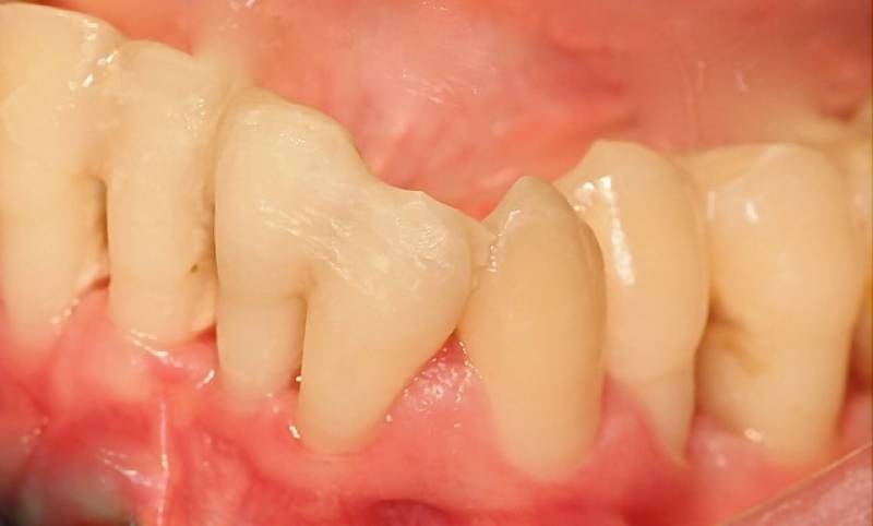
Le résultat est sans appel.
je précise encore une fois que notre action est purement médicale , il n'y a aucune recherche d'esthétique au départ, juste suivre le désir des patients de conserver leurs propres dents.
Nous écrire
Les champs indiqués par un astérisque (*) sont obligatoires