Accueil > Cas avant/après > Traitement parodontal par orthodontie avec gouttières sur un cas extreme.

Traitement parodontal par orthodontie avec gouttières sur un cas extreme.

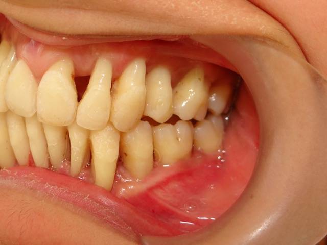
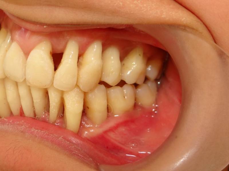
Traitement parodontale par orthodontie avec gouttières sur un cas extreme sur une patiente de 21 ans par le Dr. Pele Jean-Michel.
cette patiente est venu de Corse en 2013, avec son papa .
le programme qu'avaient prévus les praticiens rencontrés était l'extraction de l'ensemble de ses dents....elle était profondément touchée par ce projet, et à l'idée de se retrouver sans dent...
un traitement d'orthodontie avec bagues mal conduit était la cause évidente de cette parodontite.
Il était impossible de ne rien tenter.
L'association de contentions de traitement parodontal Aérobie , et d'un excellent traitement par gouttières orthodontiques nous a permis de conserver les dents depuis 2013...!

Voici le témoignage que le cabinet a reçu le 4 Mars 2022 soit 9 ans après le traitement qu'à reçu cette jeune patiente:
"

 

« j’ai été diagnostiqué d’une parodontie agressive vers la fin 2012. Après des consultations chez différents dentistes et un stomatologue, une seule possiblilité : les implants dentaires en haut en bas avec bien sûr extraction des dents même non mobiles. Après des recherches sur internet, je trouve le site du Dr Pelé, qui propose une méthode peu connue. Une consultation est programmée en mai 2013. Au final, le traitement a lieu ce jour, pour éviter des aller-retour corse continent. Un traitement orthodontique est mis en place la semaine qui suit à Bandol. Des contrôle réguliers de la parodontie et de l’orthodontie ont eu lieu pendant deux ans.

L’année dernière en mars 2021 j’ai du remettre un appareil orthodontique surtout pour remettre une canine du haut qui avait tournée, car le fil de contention s’était cassé. Le contrôle paro se fait en corse. Mon état est stable depuis 9 ans après le traitement du Dr Pelé. Les dents du bas « du sourire » et une incisive du haut sont les plus fragiles. »

Bonne soirée
Mounia S.

 

Nous écrire
Les champs indiqués par un astérisque (*) sont obligatoires