Accueil > Cas avant/après > Photos Avant/Après d'un cas de parodontite avec un problèmes d'alignement "diastème".

Photos Avant/Après d'un cas de parodontite avec un problèmes d'alignement "diastème".

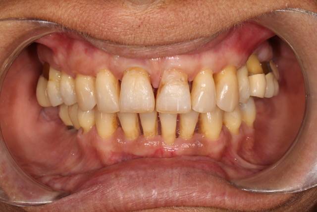
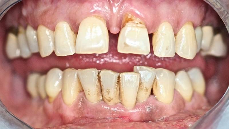
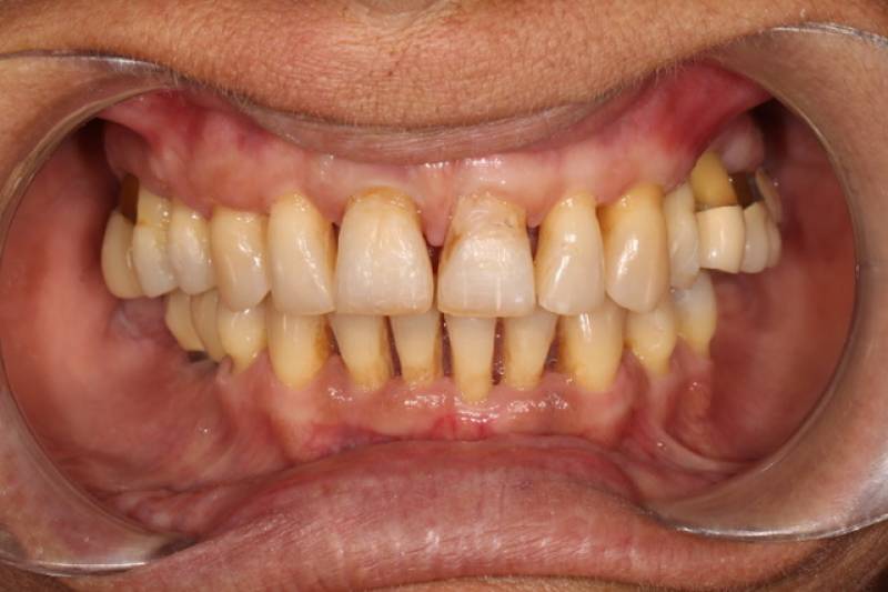
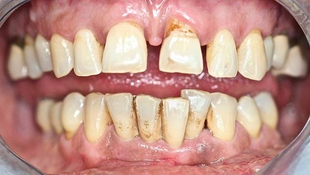
Photos avant/après d'un patient atteint d'un problème parodontie et d'alignement des dents dit : "diastème". Le traitement fut réalisé sur 16 mois.
Nous écrire
Les champs indiqués par un astérisque (*) sont obligatoires